韩国民间对军队落后的基层待遇、退伍福利、服役时长抱怨颇多,再加上与北边关系时松时紧,义务兵不知什么时候就真的会成为有生命危险的战斗兵员,设法逃避全民兵役,就成为了很多人不得已的选择。
文|地球知识局 太极斧
编辑|养乐多
NO.1212-花式逃兵役
朝鲜半岛是当今世界上少数长期保持紧张局势的地区。朝韩分别有2000多万和5000多万人口,却分别拥有近100万和50多万正规军,按人口比例计算,能在世界上排名前列,只有地缘形势更差的以色列和新加坡能与之一比。
但随着南边韩国步入发达经济体行列,高军事化水平却和国家现状产生了冲突,民间对军队的诟病非常常见,年轻人服兵役的意愿也越来越低,规避兵役成了很多青年男性和他们的家人发愁的大事。
然而这毕竟是与国家机器作对的挑战,兵役不是你想逃,想逃就能逃的,各种花式操作也就应运而生了。
参军的副作用
韩国《兵役法》是这个国家实施最早的法令之一,在建国后第二年就颁布了。这部法令对全国公民的兵役义务做出了详细的规定:一名青年男性18岁时就进入了预备役序列,19岁开始可以正式服兵役,28周岁之前必须完成兵役。
女子没有强制兵役,但可以自愿参加。
女兵作为军中绿花,向来是部队中一道靓丽的风景线
(图片来自wikipedia@ Republic of Korea Armed Forces)▼

根据军种不同,他们的服役时间也不一样。陆军和海军陆战队为18个月,海军为20个月,空军为22个月。海空军的服役时间较长,这主要是因为熟悉这些精密军事设备的培训成本较高,军队希望能减少人员流动,维持这些设备操作员的熟练度。
高级兵种待遇还是不一样,因为离美国人更近?
(图片来自wikipedia@Senior Airman Brittany Y. Auld)▼

和其他国家动辄两三年的兵役时长比起来,韩国的服役时间确实算不上长。但和大多数国家采用征募制不一样,韩国的征兵制度毕竟是义务兵,无论年轻人主观上是否愿意参军,都不得不至少接受体检。
如果一切健康就真的要花十几二十个月的时间在军队接受训练,这意味着脱产很长一段时间,走出军队后很可能需要花更多的精力重新适应快速变化的社会。
所以雇主一般都不会雇佣即将要服兵役的年轻人,刚从军队退役的年轻人又因为不熟悉工作环境而很难找到工作,参军让他们陷入了两难的糟糕处境,想逃避也在情理之中。
即使长期在社会摸爬滚打也保不定要失业
三年兵役下来再回到社会成本就更高了
太难了▼

何况韩国军队在民间的名声还不算好。
比如军官殴打士兵,一直以来都是大韩国民军的传统。
当年文在寅带兵时从不打人,还让士兵们觉得有些不舒服,临退役前求长官掌嘴图个圆满。像他这样亲民的军官,在韩国实在是不多见,更多的是令人恐惧的体罚。
2010年,一份医学调查报告显示,一年内该医学院接到了250例军队送诊,士兵伤情包括鼓膜穿孔、肋骨骨折和股骨破裂等重症,很难想象这些士兵究竟经历了什么。
其实总统先生早期也是军人出身
其所在旅的旅长还是著名的全斗焕前总统
(图片来自wikipedia@Korea.net)▼

再比如士兵的收入和福利问题,一直以来也是韩国社会讨论的焦点。
根据2013年制定的标准,一个下士每月的津贴是110000韩元,相当于650人民币,也就够吃两顿烤五花肉的。而在首尔上班的普通白领,月收入普遍已经达到了200万韩元(合1.1万人民币)。
鉴于韩国的整体受教育水平较高,年轻士兵大多能考上大学,未来成为一个大城市白领并不困难,这上下收入的对比就显得尤其刺眼了。
男主角从地方上到首尔
找房子的样子不知道让多少人仿佛看到了自己
每天努力进步的年轻人尚且艰难,与社会隔离两年
再想追上社会和他人的进度,不是件容易的事
(图片@《他人即地狱》)▼

参军期间的伙食住宿福利也让人忧心忡忡,这又主要和韩国军队明显的贪腐问题挂上了钩。2012年的一项调查显示,虽然军队预算中每个士兵每餐的伙食费为6000韩元(合35元人民币),但其实成本只有2000韩元,至于剩下的钱都到哪去了大家也心知肚明。
总之,韩国民间对军队落后的基层待遇、退伍福利、服役时长抱怨颇多,再加上与北边关系时松时紧,义务兵不知什么时候就真的会成为有生命危险的战斗兵员,设法逃避全民兵役,就成为了很多人不得已的选择。
逃兵役的骚操作
早在朝鲜战争时期,韩国就出现了第一次大规模的逃兵役潮。由于根据当时的国家规定,在读的大学生可以延期兵役,为了规避危险的朝鲜战场,韩国年轻人想尽了办法躲进学校。
朝鲜大军压境,首尔(汉城)的普通人都忙着逃命
这种涣散状况下指望城市年轻人踊跃参军不可能的..▼

然而当时韩国的教育系统尚不发达,国立大学的数量有限,过多的报考学生又进一步推高了入学难度,能成功脱逃的大学生并不多。
但上有政策,下就总能找到对策,一些私立大学瞅准了这个赚钱的时机,疯狂扩招,几乎变成了逃兵役年轻人的庇护所。
像首尔国立、釜山国立这样的稀缺资源
当时一般人也进不去,无法满足广大的逃兵役的需求▼

尽管如此,上大学也并不是万能的解药,正常大学生毕业时也就是22、23岁,仍然在兵役义务范围内,一直到30岁才能以高龄为借口彻底免除征兵。于是私立大学又纷纷推出了“无限制”延期毕业的“服务”,让学生一直在学校里“重修”,到了30岁才光荣毕业,从此不用进入一线部队。
当然,要接受私立大学如此贴心的“服务”,价格也是不菲的。只是对于生活优渥不想让孩子上战场玩命的城市家庭来说,这笔钱出得很值。
韩国政府显然也意识到了这个问题,朴正熙政府于是在1962年对国内公私大学进行了重组,合并院系,挤出那些躲在象牙塔里拒服兵役的“水分学生”。结果发现所有大学的实际在读人数(含延期毕业)是核定人数的1.75倍。
国家出手挤了水分,年轻人就不能再以学习为由拒绝兵役了,于是他们又想出了新的花招。
60年代末,韩国征兵体检登记册上出现了大量有视力缺陷的年轻人,大大超出了正常比例,但根据征兵规定,又只能对这些年轻人作缓征处理。
经过调查才发现,原来这些人都是在体检前一天深夜关灯,点上一根蜡烛,看字特别小的书,造成了视力临时性的剧烈下降,如此来免除兵役。
《日盲症》电影截图 我来
(图片来自电影《日盲症》)▼

还有一些年轻人则是在兵役体检前几个月绝食减肥,到了体检的时候瘦得营养不良,最后因为体重不及格予以缓征。
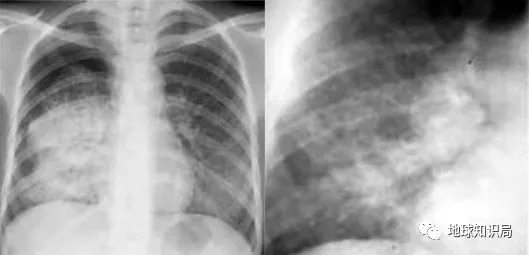
更高科技的操作也有,有人会在X光检查时在胸口涂上金属粉末,如此片子上呈现出来的胸腔内就有一块白色的不明阴影,和肺结核的症状非常相似,同样可以免除兵役。
总之就是让你看不出真病还是假病
(图片来自wikipedia)▼

当然还有一种既不损伤健康也不用买金属粉的方便法门,那就是在体检中心装疯卖傻,最后被鉴定为精神病也可以逃过兵役。70年代的韩国,正在经历“汉江奇迹”,社会上却出现了大量年轻的“精神病”,也算是一种奇观。
然而到了80年代,征兵中心引入了更先进的体检仪器,这些临时自残的手段就都失效了。要规避兵役变得越来越难,但窗口永远都是存在的。
上帝还留下了不少窗
据韩国军事人力管理局统计,目前每年有10000名18~25岁的韩国男青年移居别国,其中还有相当一部分直接放弃了韩国国籍。而在另一项调查中他们发现,这些“外国人”在30岁之后,大多数会换回韩国国籍。
在这两个敏感的年龄段切换国籍,他们逃避兵役的目的已经昭然若揭。这就是韩国家庭利用政策漏洞实施的最新的逃兵役操作。
不过更换国籍这种事并不容易,尤其是还要保证孩子在兵役期过了之后还能改回来,能做到这一点的家庭非富即贵。由于这一切都是在合法框架下完成的,得知真相的人们除了表达道德上的愤慨以外,并没有太多别的制裁手段。
更何况,人们的愤慨并不是因为特权者钻了漏洞,而是因为自己不是那个能钻漏洞的特权者。没有特权的普通家庭也在想办法让孩子避免危险的兵役,只是他们能想的办法就比较少,而且并不那么保险。
1972年夏天,第20届夏季奥运会在西德慕尼黑举办,在当时的冷战背景下,韩国的任务是代表西方阵营对决兄弟朝鲜,力求获得更多的奖牌,也展现“汉江奇迹”的建设成果。然而奥运会落幕时,韩国只拿到了一块银牌,而朝鲜获得了一金一银三铜的好成绩,把韩国狠狠比了下去。
1972年,韩国遭到了社会主义优越性的无情碾压▼

次年,朴正熙政府就宣布,将对优秀运动员进行兵役赦免,以让韩国取得更好的体育成绩。这项政策的成果很显著,在下一届奥运会上,韩国总共拿下了6块奖牌,而朝鲜只拿到了2块,为韩国拿下摔跤金牌的杨正模,也当场获得了兵役豁免权。
靠着资本主义的灵活性强力反击▼

此后,全斗焕政府继续执行这一政策,为86年亚运会和88年奥运会的所有得奖选手豁免了兵役。
这下韩国人都知道了,成为运动员能够有效逃避兵役,很多韩国家庭开始不顾一切地把孩子送进体育学校,体育教育一时供不应求。
得金牌固然是值得庆祝的事
如果能因此获得兵役豁免权,岂不更好
(韩国第一位奥运冠军—杨正模
图片来自wikipedia@Tinelot Wittermans)▼

可毕竟只有在世界大赛上拿下好成绩的选手才能避免兵役,那些成绩不佳的选手还是只能回去当兵,等从军营出来,体育生涯也基本报废了。
这也是一些韩国运动员在体育场上不择手段的原因之一,当他们感到自己处于劣势,十几年的体育训练即将白费时,体育精神也就荡然无存了,赢下比赛才是当务之急。
然而体育就和演艺明星一样,一个成功者的身后总是累累白骨,最后能登上领奖台的不过三个人,其余的都是陪衬。
从2008年到2018年十年间,因为国争光而豁免兵役的韩国选手只有220人,以逃兵役为目的而成为运动员,风险果然还是太大了。
关于演艺人员逃兵役的新闻从来就没有断过,
对于偶像来说,服兵役就是演艺生涯的一个南墙
毕竟娱乐圈更新换代的太快
(也有通过相关政策和兵役说拜拜的)▼

随着社会的发展,和很多发达国家/地区一样,韩国现在也推出了替代兵役的制度,应征入伍的年轻人如果有特长,也可以选择进入医院、研究所、市政部门担任实习生,时间比正常兵役略长,但至少不用上一线战场,受到了很多不想从军的年轻人的欢迎。
反正背后都有厉害的美国大兵站着
USFK就是United States Forces Korea(驻韩美军)
(驻韩美国大兵 图片@usfk)▼

但鉴于朝鲜半岛微妙的局势,在韩国逃避兵役毕竟还是一项严重的罪名,一直以来都不乏明星欧巴和权贵后人因逃兵役而被国家制裁的案例。
也许他们才是最真心希望半岛能和平统一的人吧。
至少在把美军赶出去这一点上,是可以达成共识的
(图片来自wikipedia)▼

END


微信公众号|地球知识局
制图:孙绿|校稿:猫斯图