斯坦福大学官网发布了吴恩达团队的一项最新成果:放射科医师可以借助人工智能算法改进脑动脉瘤的诊断。此项成果可提高临床医生正确识别动脉瘤的能力,降低漏诊率。
文|AI报道
近日,斯坦福大学官网发布了吴恩达团队的一项最新成果:放射科医师可以借助人工智能算法改进脑动脉瘤的诊断。此项成果可提高临床医生正确识别动脉瘤的能力,降低漏诊率。

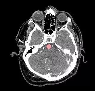
脑动脉瘤是大脑血管中的隆起物,可能会渗漏或破裂,导致中风、脑损伤或死亡。美国国家神经疾病和中风研究所认为,脑动脉瘤可以发生在任何年龄的任何人,一般而言,脑动脉瘤通常随着年龄的增长而发展,在30-60岁的人中最常见,且女性动脉瘤发病率往往高于男性。
根据脑动脉瘤基金会的数据,大约66%的破裂动脉瘤会导致永久性神经损伤。但是,动脉瘤的前期症状通常非常少,很少有患者察觉自己已经患病。即使在CT 工具的帮助下,寻找动脉瘤是放射科医生仍然是最费力、最关键的任务之一。考虑到复杂的神经血管解剖结构所带来的固有挑战,以及遗漏动脉瘤可能导致的致命后果,提高脑动脉瘤的诊断准确性不容忽视。
可观的是,近年伴随深度学习技术的日趋成熟,计算机视觉在医疗影像检验领域中的研究及应用正在得到业内关注。
HeadXNet算法构建 准确识别动脉瘤
此次斯坦福大学发布的这项研究成果的参与者主要来自该校机器学习小组(Machine Learning Group)举办的人工智能医疗训练营(AI for Healthcare Bootcamp),该小组由计算机科学副教授、论文合著者吴恩达(Andrew Ng)领导。研究的核心挑战是创建一个准确地处理大量3D图像的人工智能工具,并补充临床诊断实践。
吴恩达团队的研究工具主要是围绕一种名为HeadXNet的算法构建,经过大量训练建立数据后,HeadXNet算法能够确定扫描的每个体素是否存在动脉瘤,其水平相当于在包含动脉瘤的100次扫描中发现另外六个动脉瘤,并将算法的结论以半透明的高亮显示在扫描的顶部。

这种算法决策的表示形式,使得临床医生在没有HeadXNet输入的情况下仍然可以很容易地看到扫描结果,并可以将动脉瘤的确切位置标记给临床医生看,有效提高医生的临床表现。
在此次研究中,八名临床医生通过评估一组115个动脉瘤的脑部扫描对HeadXNet进行了测试,一次是在HeadXNet的帮助下进行的,一次没有。通过该工具,临床医生正确识别出了更多的动脉瘤,从而降低了“漏诊率”,而且医生之间更有可能达成一致。此外,HeadXNet并没有影响临床医生决定诊断所需的时间,也没有影响医生在患者没有动脉瘤的情况下正确识别扫描的能力。
关于这项最新的研究成果,吴恩达表示:“这不是单纯的人工智能自动化,而是人工智能和放射科医生的合作。我们仍有技术和非技术工作要做,但作为一个团队,我们将达到这一目标,人工智能与放射科医生的合作是最有希望的途径。”人工智能成为医生重要的工具,让医生能提升效率、效力及准确性。
AI技术下的皮肤医疗 降低患者治疗风险
人工智能不光是在脑动脉瘤领域帮助医生作出及时准确的判断,在“皮肤”医疗领域也有重大成果,可以帮助医生看到皮下组织的具体情况,提高就诊的准确率和效率。
早在2017年1月,斯坦福大学的研究者们在谷歌用于识别猫和狗的算法基础上,经过13万张皮肤病变的图像训练后,使得算法可用于识别皮肤癌。该人工智能算法系统与21位皮肤科医生进行了2轮对比测试:角质细胞癌与良性脂溢性角化病,以及恶性黑色素瘤和普通的痣。第一轮代表最常见的癌症识别,第二轮代表最致命的皮肤癌识别。深度卷积神经网络在这两个任务上的表现都达到了所有接受测试的专家的水平,证明了这一人工智能系统的皮肤癌鉴定水平与皮肤科医生相当。

同样是在皮肤领域,今年5月23日,世界领先皮肤病医疗成像系统制造商之一FotoFinder Systems GmbH 宣布推出bodystudio ATBM master。该系统首次使用全身皮肤镜技术,更深入地发展了自动全身测绘(ATBM )技术。此外,FotoFinder率先将人工智能(AI)与早期皮肤癌检测技术相结合。在2019年6月10日至6月15日举行的米兰“第24届世界皮肤病大会”上,该系统将首次向专家和大众展示。

基于AI的专业软件Moleanalyzer pro可协助医生对皮肤病变进行分析和风险评估,该系统基于迄今为止在临床测试评估过的最强大的深度学习算法之一。在海德堡大学附属医院开展的“人机大战*”研究中,FotoFinder算法在敏感度和特异性方面获得了令人印象深刻的高分,在诊断准确性方面可媲美经验丰富的皮肤镜专家。这项技术将更加快速和准确地诊断出明显的、新出现的和变化的痣,这尤其简化了高风险患者的管理。
近两年来,除医疗影像识别,人工智能在医疗语音识别、自然语言处理等多个细分领域都有超乎想象的突破。在医疗语音识别领域,梅奥诊所与以色列语音分析公司Beyond Verbal合作的研究发现13个语音特征和冠心病存在相关性,其中一个语音特征与冠心病存在强相关。在自然语言处理领域,IBM的沃森机器人能够在17秒内,阅读3469本医学专著,248000篇论文,69种治疗方案,61540次实验数据,106000份临床报告,并根据医生输入的病人指标信息,最终提出优选的个性化治疗方案。
这些无一不展现着人工智能在医疗健康领域拥有广阔的发展空间。Tractica预测,到2025年,22个人工智能医疗保健用例的全球收入将从2018年的5.117亿美元增长至86亿美元,包括硬件和服务销售在内的收入,2025年医疗保健AI市场将超过340亿美元。前瞻产业研究院数据显示,预计到2020年我国健康医疗大数据行业市场规模将突破800亿元。
毫无疑问,医学一直紧跟科学的发展脚步,科技创新和学科交叉共同促进现代医学的进步。随着人工智能技术的渐趋成熟,越来越多的医疗应用场景将被开发出来,而谷歌、微软、百度、腾讯、阿里巴巴等巨头对AI医疗领域的加码,也正在加速着“AI+医疗”这场竞赛。
编译自:https://news.stanford.edu/2019/06/07/ai-tool-helps-radiologists-detect-brain-aneurysms/